Zidentyfikowano zmiany w mózgach osób cierpiących na migreny. Nadzieja na nowe terapie

Osoby cierpiące na migrenę mają specyficzne zmiany w mózgu – wynika z nowych badań. Korzystając z rezonansu magnetycznego o ultrawysokiej rozdzielczości naukowcy odkryli, że przestrzenie okołonaczyniowe w mózgu są znacznie powiększone u pacjentów, którzy doświadczają zarówno chronicznej, jak i epizodycznej migreny. Odkrycia te mogą otworzyć nowe możliwości dalszych badań nad leczeniem tej wyniszczającej choroby.

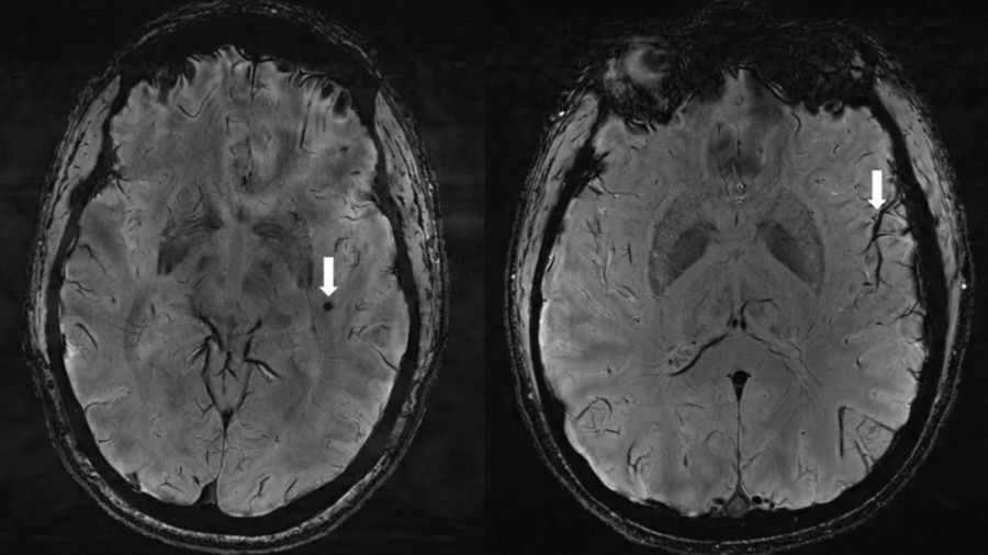
U osób cierpiących na migreny znaleziono zmiany w mózgu. fot. Radiological Society of North America/ Wilson XuU osób cierpiących na migreny znaleziono zmiany w mózgu. fot. Radiological Society of North America/ Wilson Xu
Źródło zdjęć: © Licencjodawca

Naukowcy z University of Southern California w Los Angeles zidentyfikowali powiększone przestrzenie okołonaczyniowe w mózgach osób cierpiących na migrenę. Przestrzenie okołonaczyniowe, zwane także jako przestrzenie Virchowa-Robina, to wypełnione płynem przestrzenie otaczające naczynia krwionośne w mózgu. Zlokalizowane są najczęściej w obszarze jąder podstawnych, w istocie białej, we wzgórzu, sródmózgowiu, móźdżku, hipokampie i wzdłuż drogi wzrokowej. Na przestrzenie okołonaczyniowe wpływa kilka czynników, w tym nieprawidłowości w barierze krew-mózg czy stan zapalny. Powiększone mogą być sygnałem wielu chorób m.in. otępienia czy nadciśnienia tętniczego oraz, jak wynika z nowych badań, odgrywają rolę także w migrenach. Pytanie tylko, czy mechanizm ten jest skutkiem czy przyczyną choroby.

Odkrycia naukowców, zaprezentowane na 108. zgromadzeniu Towarzystwa Radiologicznego Ameryki Północnej, mogą stanowić jeszcze niezbadaną drogę dla przyszłych badań. Być może dzięki temu uda się opracować skuteczne terapie na migreny.

Dalsza część artykułu pod materiałem wideo

Kamienie milowe w technologii - rozmowa z dr. Tomaszem Rożkiem

Migrena pod lupą badaczy

Migrena jest powszechnym, często wyniszczającym schorzeniem, obejmującym mocny, nawracający ból głowy o różnym stopniu nasilenia i o różnej częstotliwości występowania. Migreny mogą również powodować nudności, osłabienie i światłowstręt. Bywa, że pojawia się także nadmierna wrażliwość na dźwięki i zapachy. W przypadku migren występuje tzw. aura, która charakteryzuje się mroczkami, ubytkami w polu widzenia, parestezjami, niedowładem czy afazją. Według American Migraine Foundation, w samych Stanach Zjednoczonych na migreny cierpi ponad 37 milionów ludzi.

- U osób z przewlekłą oraz epizodyczną migreną bez tzw. aury występują znaczące zmiany w przestrzeniach okołonaczyniowych w obszarze mózgu zwanym środkiem półowalnym. Te zmiany nigdy wcześniej nie były zgłaszane – powiedział Wilson Xu, doktorant z Keck School of Medicine na University of Południowa Kalifornia w Los Angeles, współautor badania. – Przestrzenie okołonaczyniowe są częścią systemu usuwania płynów w mózgu. Badanie, w jaki sposób przyczyniają się do migreny, może pomóc nam lepiej zrozumieć złożoność jej powstawania – dodał.

Xu i jego koledzy chcieli sprawdzić, czy powiększone przestrzenie okołonaczyniowe mają jakiś związek z migreną. Wykorzystali do tego rezonans magnetyczny o ultrawysokim polu, aby porównać strukturalne zmiany mikronaczyniowe w różnych typach migreny.

- Według naszej wiedzy jest to pierwsze badanie wykorzystujące MRI o ultrawysokiej rozdzielczości do badania zmian mikronaczyniowych w mózgu spowodowanych migreną, szczególnie w przestrzeniach okołonaczyniowych. Ponieważ tego typu badanie jest w stanie tworzyć obrazy mózgu o znacznie wyższej rozdzielczości i lepszej jakości niż inne rodzaje MRI, można je wykorzystać do wykazania znacznie mniejszych zmian zachodzących w tkance mózgowej po migrenie – powiedział Xu.

Potencjalny mechanizm powstawania migreny

W badaniu wzięło udział 10 osób z przewlekłą migreną, 10 z epizodyczną migreną bez aury oraz pięciu zdrowych ochotników z grupy kontrolnej. Uczestnicy badania byli w wieku od 25 do 60 lat.

Analiza skanów MRI wykazała, że ​​liczba powiększonych przestrzeni okołonaczyniowych w środku półowalnym była istotnie większa u pacjentów z migreną w porównaniu z grupą kontrolną. Ponadto powiększone przestrzenie okołonaczyniowe w środku półowalnym korelowały z nasileniem pobudzenia istoty białej u pacjentów z migreną. - Badaliśmy migrenę przewlekłą i migrenę epizodyczną bez aury i stwierdziliśmy, że w obu typach migreny przestrzenie okołonaczyniowe były większe w środku półowalnym – powiedział Xu.

Naukowcy wysunęli hipotezę, że znaczące różnice w przestrzeniach okołonaczyniowych u pacjentów z migreną w porównaniu ze zdrowymi osobami mogą sugerować zaburzenia glimfatyczne w mózgu. Układ glimfatyczny to taki system usuwania odpadów z mózgu, który wykorzystuje kanały okołonaczyniowe do eliminacji metabolitów z ośrodkowego układu nerwowego. Zaburzenia układu glimfatycznego oznaczałyby, że mózg nie jest w stanie prawidłowo się oczyścić, co prowadzi do gromadzenia się odpadów, które mogą być toksyczne dla mózgu.

Jednak nie wiadomo, czy te zmiany wpływają na rozwój migreny, czy też z niej wynikają. Kontynuacja badań na większej grupie i długoterminowa obserwacja pacjentów pozwolą lepiej scharakteryzować związek między zmianami strukturalnymi a rozwojem i typem migreny.

- Wyniki naszych badań mogą pomóc zainspirować przyszłe badania na większą skalę, aby ustalić, w jaki sposób zmiany w mikroskopijnych naczyniach mózgowych i ukrwieniu przyczyniają się do różnych typów migreny. Ostatecznie może to pomóc nam opracować nowe, spersonalizowane sposoby diagnozowania i leczenia migreny – powiedział Xu.

Źródło: Radiological Society of North America, fot. Radiological Society of North America/ Wilson Xu

Źródło artykułu:
Wybrane dla Ciebie
Problemy z koreańskimi czołgami K1. Załogi narażone na ekstremalne temperatury
Problemy z koreańskimi czołgami K1. Załogi narażone na ekstremalne temperatury
Polski dron, który spadł Inowrocławiu. Oto czym mógł być
Polski dron, który spadł Inowrocławiu. Oto czym mógł być
Najbardziej jadowita ryba świata. Tak działa jej jad
Najbardziej jadowita ryba świata. Tak działa jej jad
Nowa broń Rosjan. Jest napędzana elementem z Chin
Nowa broń Rosjan. Jest napędzana elementem z Chin
Gigantyczny most między dwiema galaktykami. Fenomenalne odkrycie
Gigantyczny most między dwiema galaktykami. Fenomenalne odkrycie
Polska zapora nie do przejścia. Imigranci wpadli na przedziwny pomysł
Polska zapora nie do przejścia. Imigranci wpadli na przedziwny pomysł
Niezwykłe tatuaże z Syberii sprzed dwóch tysięcy lat. Na rękach mumii
Niezwykłe tatuaże z Syberii sprzed dwóch tysięcy lat. Na rękach mumii
Lepsze niż F-16. Odważna opinia Ukraińca
Lepsze niż F-16. Odważna opinia Ukraińca
Polska Agencja Kosmiczna milczy. "To było wprowadzanie w błąd"
Polska Agencja Kosmiczna milczy. "To było wprowadzanie w błąd"
Fragment chińskiej rakiety spadł w Australii. Płonął, gdy go znaleźli
Fragment chińskiej rakiety spadł w Australii. Płonął, gdy go znaleźli
Myliliśmy się co do początków życia? Badacze mają nowe dowody
Myliliśmy się co do początków życia? Badacze mają nowe dowody
Handlowali z Rosją. Chińczycy wstrzymują umowy z Moskwą
Handlowali z Rosją. Chińczycy wstrzymują umowy z Moskwą
ZACZEKAJ! ZOBACZ, CO TERAZ JEST NA TOPIE 🔥