WAŻNE
TERAZ

Kraków: Dym w kabinie samolotu. Pasażerowie ewakuowani

Mężczyzna nie ma sporej części mózgu, mimo to żyje. Lekarze byli wstrząśnięci

W głowie 84-letniego Irlandczyka lekarze zamiast części mózgu odkryli sporą pustą przestrzeń. Prawdopodobnie jest wypełniona powietrzem i należy ją operować. Mężczyzna jednak nie zgodził się na jej przeprowadzenie, bo dobrze się czuje.

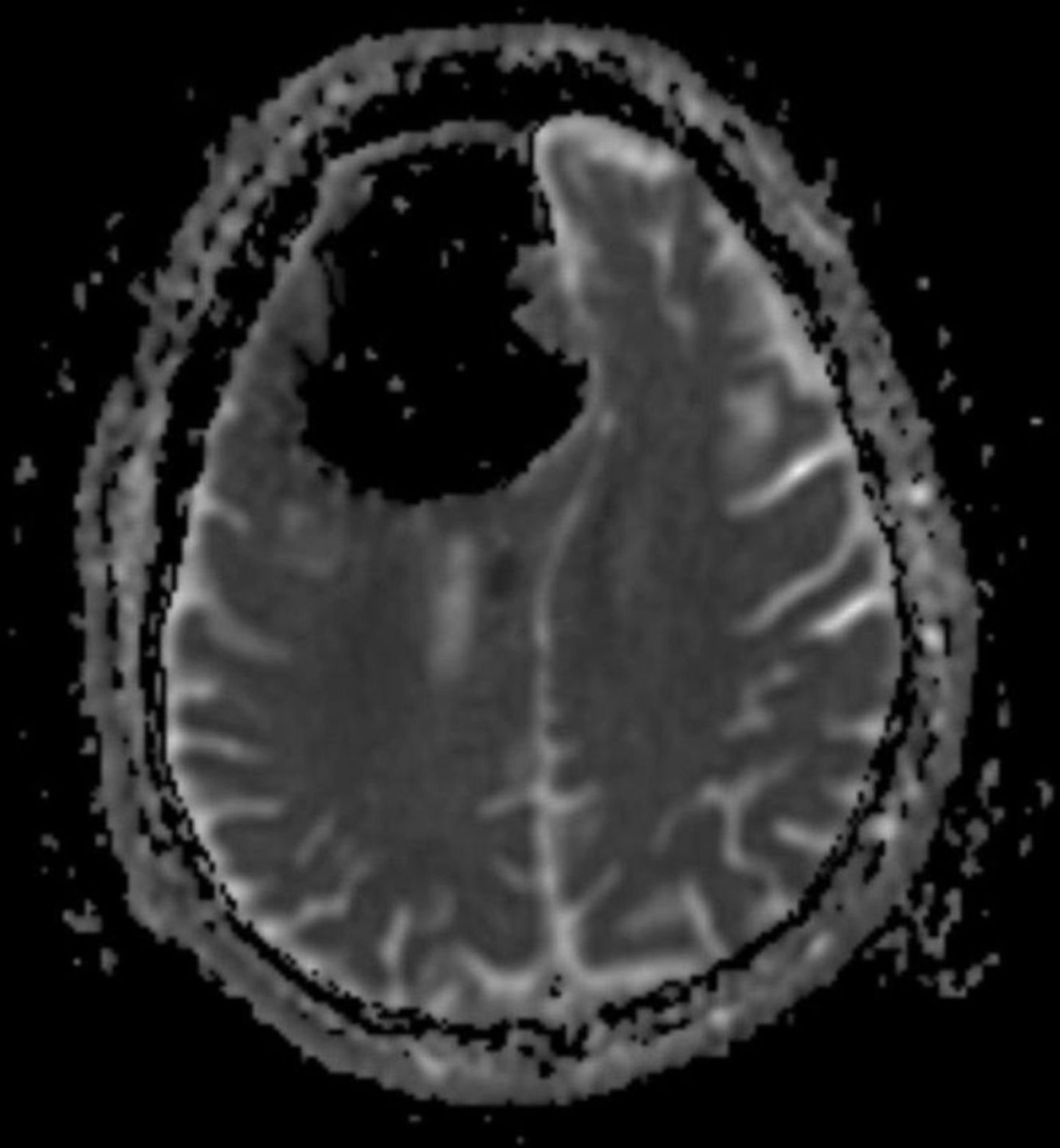
Na zdjęciach najlepiej widać, jak sporej części mózgu brakuje mężczyźnie
Źródło zdjęć: © BMJ Case Reports
Arkadiusz Stando

Irlandczyk zgłosił się do lekarza narzekając na częste upadki i uczucie niepewności w ostatnich miesiącach. Mężczyzna miał również problem z osłabieniem w nogach i lewym ramieniu. Lekarz słysząc o tych dolegliwościach zalecił prześwietlenie mózgu.

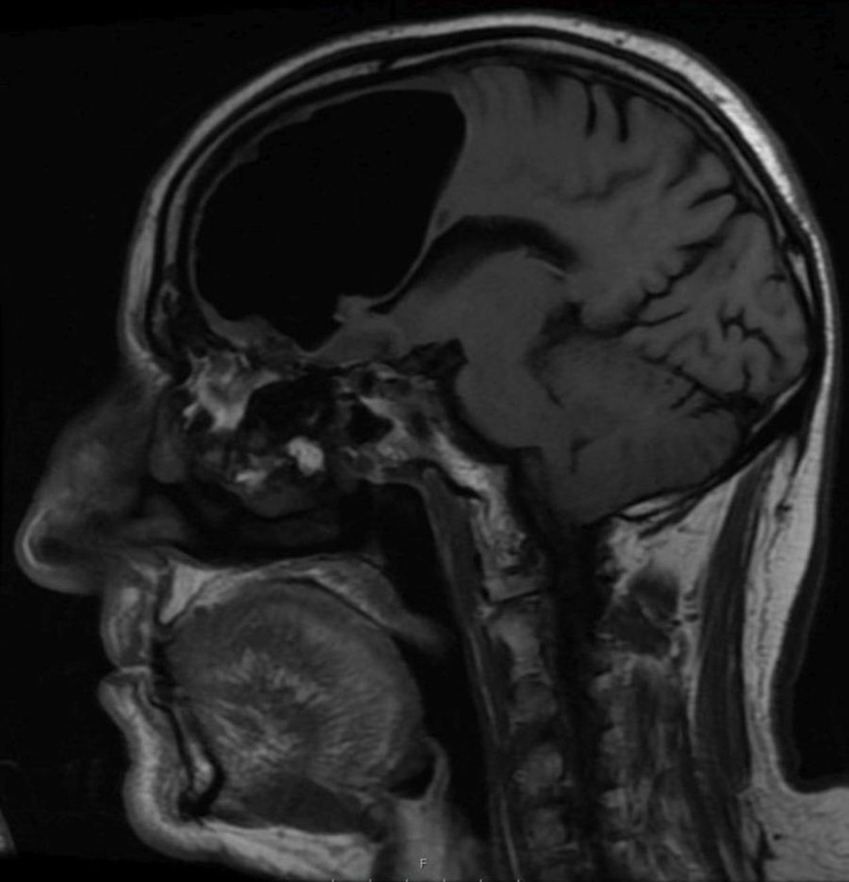
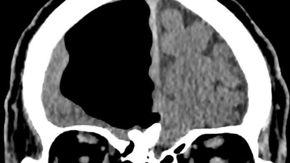
Widząc jego wyniki lekarze byli zaszokowani. Okazało się bowiem, że mężczyźnie brakuje sporej części mózgu. Zamiast tkanki mózgowej, lekarze dostrzeli (najprawdopodobniej) pęcherz powietrza o wielkości 9 cm. Na jego miejscu powinna znajdować się duża część prawego płata czołowego. Lekarze ogłosili to odkrycie w BMJ Case Reports.

Obraz
© BMJ Case Reports

"Pustka" w głowie mężczyzny była szczególnie zaskakująca, ponieważ dolegliwości dotykające go wydawały się być czymś normalnym w jego wieku. Jednak poza słabością i problemami z równowagą, mężczyzna był w dobrej formie. Nie wykazywał zaburzenia mowy, widzenia, ani innych podstawowych funkcji życiowych.

Obraz
© BMJ Case Reports

Jeden z lekarzy, Finlay Brown z Northern Ireland Medical and Dental, przeglądając zdjęcia z prześwietlenie oraz skany tomografii komputerowej określił tę sprawę "kłopotliwą". Zwykle takie pęcherzyki powietrza są widoczne u ludzi, którzy przeszli operację mózgu oraz są zdecydowanie mniejsze. Ale ten mężczyzna nie miał nigdy takiego zabiegu.

Po dokładniejszym przebadaniu głowy 84-latka, lekarze znaleźli prawdopodobne źródło problemu. Według nich był to łagodny nowotwór kości. Lekarze sugerują, że guz utworzył mały otwór, przez który powietrze dostało się do mózgu i nie było już w stanie się z niego wydostać. - Najprawdopodobniej stało się to podczas... kichnięcia - stawierdził Brown w rozmowie z Washington Post.

Lekarze dodają również, że takie kieszenie czy pęcherzyki powietrza mogą powodować niewielkie udary. To wyjaśniałoby, skąd u mężczyzny wzięły się uciążliwe objawy. Warto przypomnieć, że to nie jedyny tego typu przypadek. Kilka lat temu do francuskiego szpitala zgłosił się mężczyzna z podobnymi objawami. Jak się okazało, 90 proc. jego mózgu zawierał płyny mózgowo-rdzeniowe, a mimo to normalnie funkcjonował.

Wybrane dla Ciebie

Rozstawili system antydronowy. Został zniszczony chwilę później
Rozstawili system antydronowy. Został zniszczony chwilę później
Rosja straciła kolejną unikatową maszynę. Wiele ich już nie zostało
Rosja straciła kolejną unikatową maszynę. Wiele ich już nie zostało
To był jeden z najnowszych pocisków Rosjan. Strąciła go tania antyrakieta
To był jeden z najnowszych pocisków Rosjan. Strąciła go tania antyrakieta
Amerykański następca ATACMS-a. Chcą go produkować 400 sztuk rocznie
Amerykański następca ATACMS-a. Chcą go produkować 400 sztuk rocznie
Wielki szturm Rosjan w obwodzie donieckim. Takiej masy dawno nie widziano
Wielki szturm Rosjan w obwodzie donieckim. Takiej masy dawno nie widziano
Nikt inny na świecie nie dał tylu czołgów. Polska pomoc dla Ukrainy
Nikt inny na świecie nie dał tylu czołgów. Polska pomoc dla Ukrainy
Są klientem Rosjan. Teraz kupują pociski z Wielkiej Brytanii
Są klientem Rosjan. Teraz kupują pociski z Wielkiej Brytanii
Bat na masy rosyjskich dronów. Będą produkować ich 2000 miesięcznie
Bat na masy rosyjskich dronów. Będą produkować ich 2000 miesięcznie
Airbus A320 przejmuje fotel lidera. Boeing 737 spada na drugie miejsce
Airbus A320 przejmuje fotel lidera. Boeing 737 spada na drugie miejsce
Jest wyjątkowy. Ma masę miliona Słońc
Jest wyjątkowy. Ma masę miliona Słońc
Powtórzy wyczyn Magellana. Autonomiczny dron w rejsie dookoła świata
Powtórzy wyczyn Magellana. Autonomiczny dron w rejsie dookoła świata
Kupili MiG-i od Rosjan. Miały awarię za awarią
Kupili MiG-i od Rosjan. Miały awarię za awarią