54-latek nie ma mózgu. Pracuje jako urzędnik

Myśleliście, że mózg jest niezbędny człowiekowi do życia? Nic bardziej mylnego. Ten mężczyzna żyje 54 lata bez mózgu i doskonale sobie radzi.

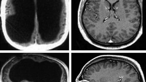
Wynik badania mózgu urzędnika
Źródło zdjęć: © The Lancet
Arkadiusz Stando

Kiedy 10 lat temu zdiagnozowano u 44-letniego Mathieu brak mózgu, cały świat nie dowierzał. Postawiło to na głowie wszystko, co dotychczas wiedzieliśmy. Wydawało się, że serotonina i dopamina krążące po neuronach stanowią o naszej egzystencji.

Według naukowców brak mózgu oznacza między innymi brak emocji, wiedzy, świadomości. Tymczasem 54-letni już mężczyzna posiada te wszystkie cechy, mimo braku mózgu. Do dziś nie udało się wyjaśnić jego fenomenu.

Jak zaczęła się jego historia? Mathieu pewnego razu miał problem zdrowotny. Skarżył się na silny ból w nogach. Lekarze szukając odpowiedzi na źródło bólu postanowili prześwietlić mu głowę. Wtedy zobaczyli coś, czego nie spodziewali się widzieć w swojej karierze. Początkowo podejrzewali wadliwą aparaturę, jednak szybko okazało się, że sprzęt działa bez zarzutu. Mathieu po prostu nie miał mózgu.

Wyniki badania zszokowały lekarzy. Ponad 90 proc. jego głowy było wypełnione płynem rdzeniowo-mózgowym, a resztę zajmowała istota szara mózgu oraz cieniutka warstwa rzeczywistej tkanki mózgowej.

Mimo praktycznie całkowitego braku mózgu, Mathieu osiągnął IQ na poziomie 75. To liczba delikatnie niższa od przeciętnej, ale biorąc pod uwagę jego warunki to i tak jest czego pogratulować. Należy też pamiętać, że testy IQ są często niewymierne. Nawet lekkie zachwianie nastroju może mieć negatywny wpływ na wynik.

Naukowcy określili to wyjątkowe zjawisko "przypadkiem Mathieu". Mężczyzna wolał pozostać anonimowy, stąd określa się jego przypadek tylko imieniem.

Ubezpieczenie OC, OC/AC, mieszkania i podróży nie musi być drogie! Zobacz oferty na Link4 kody rabatowe.

Wybrane dla Ciebie
IRIS-T kontra rosyjski dron. Wynik tego starcia mógł być tylko jeden
IRIS-T kontra rosyjski dron. Wynik tego starcia mógł być tylko jeden
Razem mają 6 tys. czołgów. Wyraźnie się do siebie zbliżają
Razem mają 6 tys. czołgów. Wyraźnie się do siebie zbliżają
Przyszłość czołgów. Pierwszy M1E3 Abrams wyznacza nowy kierunek
Przyszłość czołgów. Pierwszy M1E3 Abrams wyznacza nowy kierunek
Rzeka pocisków dla Ukrainy. Nie wiadomo, skąd je wzięli
Rzeka pocisków dla Ukrainy. Nie wiadomo, skąd je wzięli
Polska wybrała szwedzkie okręty. Niemcy nie kryją rozczarowania
Polska wybrała szwedzkie okręty. Niemcy nie kryją rozczarowania
Mocarstwo NATO niezdolne do walki. Brakuje artylerii, czołgów i ludzi
Mocarstwo NATO niezdolne do walki. Brakuje artylerii, czołgów i ludzi
To najbardziej odległy punkt na Ziemi. Sąsiadują z nim astronauci
To najbardziej odległy punkt na Ziemi. Sąsiadują z nim astronauci
Chiński gigant Shein otwiera w Polsce nowe centrum. Ekspansja budzi obawy
Chiński gigant Shein otwiera w Polsce nowe centrum. Ekspansja budzi obawy
Dwa lata ministra Kosiniaka-Kamysza. Wielka kontynuacja i nowe inicjatywy
Dwa lata ministra Kosiniaka-Kamysza. Wielka kontynuacja i nowe inicjatywy
Podnieśli cenę za F-35. Tym razem Amerykanie się przeliczyli
Podnieśli cenę za F-35. Tym razem Amerykanie się przeliczyli
Zgaszą pożar głośnikami. Przełom w technologii infradźwięków
Zgaszą pożar głośnikami. Przełom w technologii infradźwięków
Szykowali je na Ukrainę. Dziesiątki bomb spadły na Rosję
Szykowali je na Ukrainę. Dziesiątki bomb spadły na Rosję
ZATRZYMAJ SIĘ NA CHWILĘ… TE ARTYKUŁY WARTO PRZECZYTAĆ 👀