Dwukrotny wzrost liczby nowotworów mózgu. Naukowcy sądzą, że znają winowajcę

W opublikowanych w środę badaniach Journal of Environmental and Public Health przedstawiono wzrost liczby złośliwych guzów mózgu w latach 1995-2015 w Anglii. Według badań, liczba wzrosła dwukrotnie z 2,4 do 5 chorych na 100 tys. osób.

Nie ma pewnych dowodów na korelację, jednak lepiej zachować zasady bezpieczeństwa
Źródło zdjęć: © Getty Images
Arkadiusz Stando

Według danych analizowanych w badaniu, nie ma konkretnej przyczyny wzrostu, ale naukowcy mają teorię. Ta tendencja wzrostowa mogła wystąpić poprzez wiele czynników stylu życia ludzkości. Wśród tych czynników nawiązano do innych badań, które łączą guzy mózgu z użyciem telefonów komórkowych.

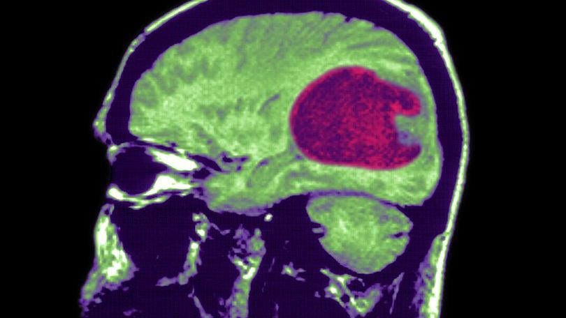
Nie ma pewności, czy telefony mogą powodować raka mózgu, jednak według Alasdaira Philipsa, głównego autora badań, wydaje się to najbardziej prawdopodobne. Guzy znajdują się przede wszystkim w okolicy płatów czołowych i skroniowych, czyli w okolicach uszu oraz oczu. To zwiększa jeszcze podejrzenie. Autor badania sugeruje, aby nie panikować. Jednak mówi, że warto dmuchać na zimne i przypadku prowadzenia długiej rozmowy korzystać ze słuchawek.

Autor dodaje jednak, że nowotwory mózgu są bardzo rzadkie, więc te podejrzenia nie powinny budzić większego niepokoju. Nawet jeśli użycie telefonu komórkowego może zwiększać ryzyko nowotworu, to wciąż samo ryzyko zachorowania jest bardzo niskie.

Badania nad wpływem telefonów komórkowych na całym świecie pozostawiają więcej pytań, niż odpowiedzi. Niektóre z nich przedstawiły sygnały radiowe jako odpowiedzialne za zwiększanie częstotliwości zachorowań na raka, natomiast inne powiedziały zupełnie co innego.

Inni eksperci z Wielkiej Brytanii krytykują sposób przedstawiania dowodu. W badaniu pokazano tylko statystyczne wyliczenia, według których wzrost liczb guzów mózgu. Nie widać w nich dowodów na winę telefonów komórkowych. Oczywiście w ciągu tych lat wzrósł czas korzystania z tych urządzeń, ale nie może być to bezpośrednim dowodem. Poza tym, jak pisze Lion Shahab w pisemnym oświadczeniu wydanym przez Science Media Center, "nawet jeśli znaleziono takie powiązanie, korelacja nie implikuje związku przyczynowego".

"Podczas gdy wykorzystanie telefonów komórkowych w populacji zwiększyło się z mniej niż 15 proc. do 95 proc. w badanym okresie, to nie obserwujemy takiego samego wzrostu złośliwych guzów mózgu. To sugeruje, że nawet jeśli istnieje taki wpływ, to musi być bardzo niewielki" - pisze Shahab.

Źródło: CNN

Wybrane dla Ciebie
Problemy rosyjskiej floty podwodnej. Od "kulejącego okrętu" do "pływającej Hiroszimy"
Problemy rosyjskiej floty podwodnej. Od "kulejącego okrętu" do "pływającej Hiroszimy"
Tajemnica posągów z Wyspy Wielkanocnej rozwiązana. Są nowe badania
Tajemnica posągów z Wyspy Wielkanocnej rozwiązana. Są nowe badania
Błędnie zdiagnozowała raka. AI myli się w 7 na 10 przypadków
Błędnie zdiagnozowała raka. AI myli się w 7 na 10 przypadków
Widowiskowy pokaz świateł z dalekiej północy. Zorza polarna znów nad Polską
Widowiskowy pokaz świateł z dalekiej północy. Zorza polarna znów nad Polską
Odkryli egipską twierdzę sprzed 3,5 tys. lat. W środku piece i ciasto
Odkryli egipską twierdzę sprzed 3,5 tys. lat. W środku piece i ciasto
Muzyka generowana przez AI zastępuje artystów. Sklepy w Belgii unikają opłat
Muzyka generowana przez AI zastępuje artystów. Sklepy w Belgii unikają opłat
Muchomory modne na Instagramie? Toksykolog: eksperymenty mogą zabić
Muchomory modne na Instagramie? Toksykolog: eksperymenty mogą zabić
Sekret rosyjskiego Su-57 poznany. Oto co pomieści w swoim wnętrzu
Sekret rosyjskiego Su-57 poznany. Oto co pomieści w swoim wnętrzu
Fascynujące odkrycie na Tytanie. To prawdziwe wyzwanie dla chemików
Fascynujące odkrycie na Tytanie. To prawdziwe wyzwanie dla chemików
Pocisk manewrujący Ragnarök pokazany. To długie ramię dla "Walkirii"
Pocisk manewrujący Ragnarök pokazany. To długie ramię dla "Walkirii"
Już kupowali z Zachodu. Nagle zwrot akcji. Wybrali myśliwiec z Chin
Już kupowali z Zachodu. Nagle zwrot akcji. Wybrali myśliwiec z Chin
Są starsze niż piramidy w Gizie. Natura stworzyła je w Alpach
Są starsze niż piramidy w Gizie. Natura stworzyła je w Alpach