Technologie
Kosmos
Kosmos
Kosmos
Misje kosmiczne
Astronomia
Nauka
Militaria
Opinie i komentarze
Obserwuj nas na:
Popularne w serwisie
Tech
:
Chcieli oszukać świat. Prawda o ich pomocy Iranowi wyszła na jaw
Mateusz Tomczak
Koniec samolotów F-14 Tomcat. Ostatnie maszyny zniszczone przez izraelskie bomby
Łukasz Michalik
Całe czarne. Ale nie to jest najgorsze
Mateusz Tomczak
Sprzedadzą Izraelowi 12 tys. bomb. Są warte 151,8 mln dol.
Justyna Waliszewska
Mają go tylko USA. Czego jeszcze o nim nie wiemy?
Aleksandra Dąbrowska
Iran zaatakował coś bardzo cennego. Te obiekty są ważniejsze od rafinerii
Przemysław Juraszek
Technologie
Kosmos
Misje kosmiczne
Astronomia
Nauka
Militaria
Opinie i komentarze
Zaloguj
urzędnik
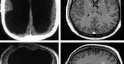
54-latek nie ma mózgu. Pracuje jako urzędnik
Myśleliście, że mózg jest niezbędny człowiekowi do życia? Nic bardziej mylnego. Ten mężczyzna żyje 54 lata bez mózgu i doskonale sobie radzi.
Arkadiusz Stando
5 grudnia 2017, 12:35